Skip to content Skip to footer
Odontología Estética

Perfeccionamiento dental

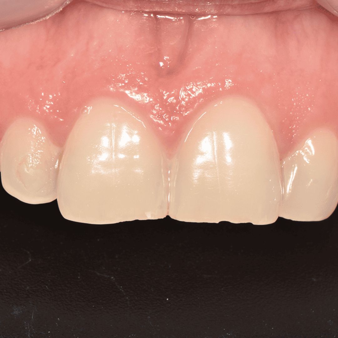
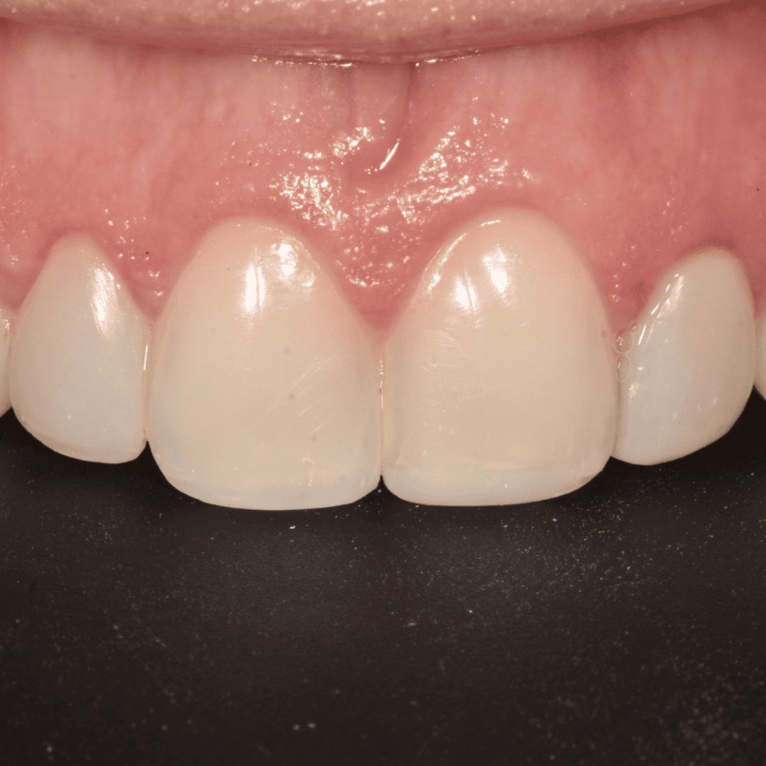
El perfeccionamiento dental es un conjunto de tratamientos estéticos que buscan mejorar la apariencia de los dientes, incluyendo blanqueamiento, alineación, y corrección de imperfecciones, para lograr una sonrisa más estética y saludable.

Odontología Estética

Perfeccionamiento dental

BeforeBeforeAfter
BeforeBeforeAfter
Datos de contacto
  • Celular 1:  +57 302 647 7965
  • Dirección: CL 23 NORTE 15 – 35 ED OASIS DE LAURELES LC 7

    Municipio : Armenia, Quindío

  • Correo:  info@orionodontologia.com

ORION ODONTOLOGIA INTEGRATIVA IPS SAS  © 2024. Todos los derechos reservados.

Dejanos tus datos y con gusto atenderemos tu caso